The international course “Anterior Teeth: Solutions & Clinical Procedures” with Dr. Marco Veneziani is a three-day advanced program dedicated to aesthetic restorations of anterior teeth.

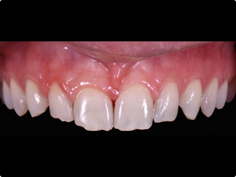
Participants will explore modern restorative approaches including direct composite restorations, the Injection Molding Technique using flowable composites, and clinical protocols for ceramic laminate veneers. Through lectures, clinical videos and intensive hands-on sessions, dentists will learn predictable and biomimetic techniques for highly aesthetic anterior restorations.

Key topics include aesthetic analysis, composite layering strategies, minimally invasive procedures, Digital Smile Design, diagnostic mock-ups and adhesive cementation protocols for veneers. The course takes place at the Komet Academy Training Center in Verona, Italy, offering a full-immersion educational experience for clinicians aiming to refine their skills in contemporary aesthetic dentistry.

Anterior Teeth: Solutions & Clinical Procedures
Restaurativa
Anterior Teeth: Solutions & Clinical Procedures
09/07/2026, 10/07/2026, 11/07/2026
Centro Corsi Komet Academy Italia
Via Belgio 12
Dr. Marco Veneziani
Marco Veneziani

Course Program

  • Fundamental aesthetic criteria (objective and subjective)
  • Materials and tools
  • Adhesive techniques : Operative sequences

 

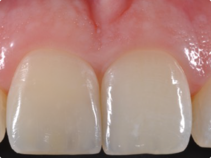
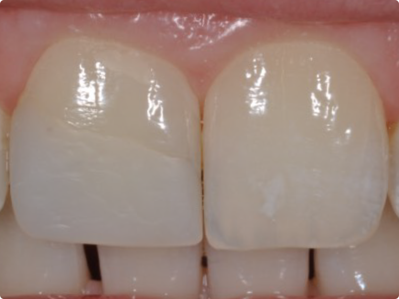
DIRECT COMPOSITE RESTORATIONS
Ultraconservative Treatment options:

  • The Micro-abrasion technique
  • The Erosion-Infiltration technique
  • Re-bonding of the dental fragment
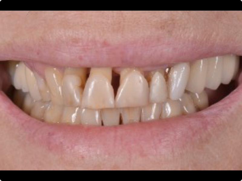
  1. Class V Restorations with iuxta- and subgingival margins (combined surgical and restorative procedure)
  2. Class V composite restoration and gingival recession : restorative and muco-gingival surgery
  3. Class III Restorations : the centrifugal and centripetal -layering technique
  4. Class IV Restorations ( for decay ,fracture ,amelogenesis imperfecta, wear)
    • Pre-surgery analysis
    • Finishing of the margins :butt-joint, chamfer, bevel 45°,rounded bevel
    • Layering technique driven by silicon index : Anatomical
      1. Anatomical modified and
      2. Simplify layering technique-
      3. Finishing, Macro-texture, polishing, surface texture, brightening
  5. Video Full HD : Intrasurgical Fragment re-bonding ,Class IV restoration driven by silicon index, modification
    of the emergency teeth profiles
  • Direct Composite Veneers
  • The integrated restorative-and- surgical treatment for the Fracture far below of CEJ
    and Invasive Cervical Resorption

Execution by the delegates of an upper frontal tooth, which is to be layered with composite material (from root to crown) with the help of matrix silicon index. The delegates will make a central upper incisor by composite layers stratification (root and crown) with driven by silicon index matrix .Finishing, polishing, micro-texture and brightening procedures.
The speaker will verify all the operative sequences step by stepand perform a live demonstration

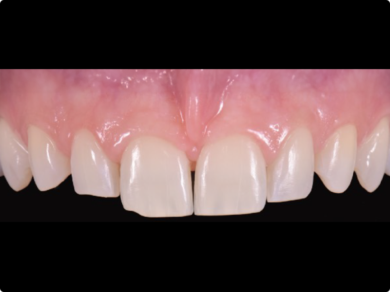
CERAMIC LAMINATES VENEERS

  • Photography status and Digital Digital Smile Design.
    • Visagism and morpho-psychology
    • Diagnostic Wax-Up driven by DSD
    • Clinical previsualization (Direct Resin Mock-Up)
  • Dental tissues preparations:
    • Free hand prep
    • Preparation driven by silicon indices
    • Preparation driven by mock-up
    • Preparation driven by dental lab
  • Basic Principles and Operative sequences
    • Conventional preparations and Enamel Recontouring
    • Direct Provisional restorations
    • Adhesive cementation step by step (ceramic conditioning and tooth conditioning, finishing and occlusal check)
    • Multidisciplinary approach: Mucogingival surgery, Orthodontic treatment, Orthognatic Surgery)
  • VIDEO Full HD: Ceramic Laminate Veneers : clinical procedures from the aesthetic analysis to the adhesive cementation of laminate veneers with all the operative sequences in the upper arch

The participants will perform a direct resin mock-up on a special models with synthetic teeth and then preparation for laminate veneers driven by mock-up and finally the temporary direct restorations.
The speaker will verify all the operative sequences step by step and perform a live demonstration

INJECTION MOLDING TECHNIQUE:
The Innovative Customized Hybrid Index(by Veneziani-Quintavalla): how to made it, how to use it

  • The different clinical procedure:
    • One stage One step approach
    • One Stage Two steps approach
    • Layered 2 stage three Steps approach
  • Clinical Applications and indications :
    • Restorative
    • Pre and Post-Ortho
    • Periodontal case
    • Full Mouth adhesive Rehabilitations
  • Video Full HD : Full mouth adhesive rehabilitation with direct layering composite and layered INJECTION Molding Technique 2 stage-3 steps

Execution by the delegates of 4 upper incisors by means of flowable Injection Molding Technique: construction of the traditional Silicon Index -Isolation every-other -tooth -Injection by Monolithic 2 steps approach.
Finishing ,polishing, brightening procedures
Live demonstration by the speaker: the Flowable Injection Molding Technique with the Customized Hybrid Index on a dedicated resin model.
Flowable Injection, finishing, polishing, brightening procedures

Who the course is aimed at
Dentists - Dental Technicians - Recent graduates - Students

The course “Anterior Teeth – Solutions & Clinical Procedures” is designed for dentists and dental professionals who want to improve their expertise in aesthetic dentistry and anterior restorations using modern, predictable clinical protocols.

This program is particularly suitable for:

  • General dentists who want to enhance their clinical skills in anterior composite restorations.

  • Restorative and aesthetic dentists looking to update their knowledge on advanced techniques such as the Injection Molding Technique, composite layering, and ceramic laminate veneers protocols.

  • Clinicians interested in minimally invasive and biomimetic dentistry for the rehabilitation of anterior teeth.

  • Dental professionals aiming to integrate digital workflows, including Digital Smile Design (DSD), into aesthetic treatment planning.

  • Dentists who want to achieve more predictable and natural aesthetic outcomes through intensive hands-on training sessions.

Thanks to its combination of theoretical lectures, clinical cases and practical exercises, this course is ideal for clinicians seeking evidence-based techniques that can be immediately applied in everyday dental practice.

Course registration includes
  • Models, and Materials for the 3 Hands-On session
  • Coffee-breaks and Lunches
  • Friday Dinner
Payment details

Bank Transfer to

MFV Communication di Veneziani Marco & C. sas

Banca di Piacenza
IBAN: IT03E0515665500CC0180009017
BIC SWIFT: BCPCIT2P

Reason of the payment: First and Last names course VR

Your speakers
Dr. Marco Veneziani

Dr. Marco Veneziani graduated in Dentistry and Dental Prosthetics from the University of Milan in 1988 with honors. He furthered his expertise in Conservative Dentistry, Prosthetics, and Periodontology through annual courses with Dr. S. Patroni and Dr. P.P. Cortellini, and completed advanced training in Implant Surgery Techniques (Prof. Weinstein) and Advanced Implantology Surgery (Dr. C. Tinti). He also refined his skills in mucogingival surgery with Prof. G. Zucchelli. He has been an active member of the Italian Academy of Conservative and Restorative Dentistry (AIC) since 1996, the Italian Academy of Esthetic Dentistry (IAED) since 2012, and the International Academy for Digital Dental Medicine (IADDM). He has served as an adjunct professor at the University of Pavia (Conservative Dentistry from 2007 to 2011, Periodontology from 2019 to 2024) and in several postgraduate Master’s programs. A speaker at national and international conferences, he has published numerous scientific articles and book chapters in conservative and prosthetic dentistry. He received the "Case Report Award Dentista Moderno" in 2002 and placed third in the AIOP-APS Excellence in Prosthodontics Award in 2015. He is the author of the book "Solutions" (EDRA 2021), translated into seven languages. Practicing as a private professional since 1989, he also runs a training center in Vigolzone (PC), focusing on a multidisciplinary approach to dentistry.