Join the Basic Theoretical and Practical Course in Fixed Prosthodontics organized by Dr. Luca Ortensi from September 19 to 21, 2025, in Verona. This 3-day course focuses on prosthetic techniques for single anterior and posterior teeth.komet.it+1komet.it+1
The program provides a comprehensive clinical-operational guide, from treatment planning to the finalization of the restoration, emphasizing both analog and digital impression procedures. Through theoretical sessions and hands-on practice, participants will acquire skills immediately applicable in daily practice.komet.it
Key Topics:
Prosthetic treatment planning
Tooth preparation for anterior and posterior restorations
Selection of prosthetic materials
Cementation techniques
Analog and digital impression procedures
 
 
 
 
Differential treatment planning versus clinical and technical execution for anterior teeth
Selection of ceramic material based on the clinical scenario
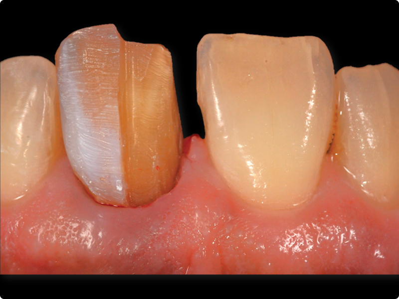
Tooth preparation for anterior restorations: which finish line to choose?
Analog and digital laboratory phases in prosthetic fabrication
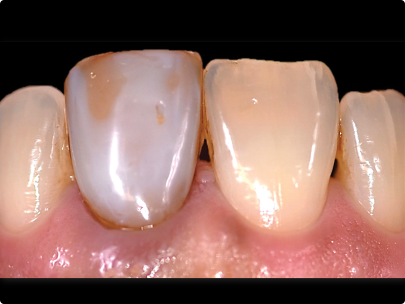
Final cementation of the restoration
Occlusal checks after cementation
Management, relining, and finishing of the provisional restoration
Differential treatment planning versus clinical and technical execution for posterior teeth
Pulpal assessment: to devitalize or preserve the tooth
Reconstructive treatment after endodontic therapy
Ceramic and composite inlays and overlays: from planning to clinical and technical execution
Overview of prosthetic materials
Material selection for posterior crowns
Tooth preparation for posterior restorations
Management of provisional restorations (temporary crowns, Ion caps)
Final cementation: techniques and materials based on the type of restoration
Occlusal control in posterior areas
Full preparation of the posterior tooth on model
Management, relining, and finishing of the provisional restoration
Digital impression: technological features
Comparison between digital and conventional impressions
Soft tissue management
Scanning techniques
File analysis prior to submission
Intraoral scanning of the model
Conventional impression using polyvinyl siloxane (PVS)
The course is designed for dentists and dental professionals who wish to deepen or refine their skills in the prosthetic management of single anterior and posterior teeth. It offers a hands-on focus on tooth preparation, material selection, cementation techniques, and both digital and conventional impression procedures.
3 days of intensive theoretical and practical training
1 Komet bur kit worth €350 + VAT
1 official Komet Academy book worth €229.00 + VAT
Coffee breaks and lunches included
All materials are provided by the organizers.
Contract Professor in prosthetics at the Universities of Catania (2016-2022) and Ferrara (2021-2023), graduated in Dentistry from the University of Bologna. He holds a Master's in Adhesion from Siena. Active member of CAO commissions and author of scientific articles with over 200 citations. He has delivered more than 300 lectures at international conferences. He practices in Bologna, specializing in prosthetics, reconstructive dentistry, and implantology.
 
