A full immersion course in endodontics designed for dentists who want to refine their skills with the latest shaping, cleaning, and obturation techniques.
Combining focused theory and intensive hands-on training on extracted teeth, participants will rediscover confidence and precision in endodontic treatments.
Three days of practical sessions with microscopes, exploring rotary and reciprocating systems, bioceramic sealers, and retreatment protocols for predictable, high-quality results.

Full Immersion in Endo
Endodontics
Full Immersion in Endo
26/01/2026, 27/01/2026, 28/01/2026, 26/10/2026, 27/10/2026, 28/10/2026
Centro Corsi Komet Academy Italia
Via Belgio 12
Dr. Alessandro Fava
FORMADENTIS

Course Program

THEORETICAL SECTION

  • Canal shaping: general principles.
  • Scouting, glide path, preflare.
  • Continuous rotation and reciprocation.
  • Management of calcified canals.

PRACTICAL SECTION

  • Mechanical shaping of the canal body in continuous rotation and reciprocation on extracted teeth with access cavities previously prepared by the participant on anterior and posterior teeth.
  • Manual scouting and achievement of the correct working length.
  • Mechanical glide path and preflare.
  • Shaping using rotary and reciprocating systems.

THEORETICAL SECTION

  • Working length.

  • Apical gauging and refinement.

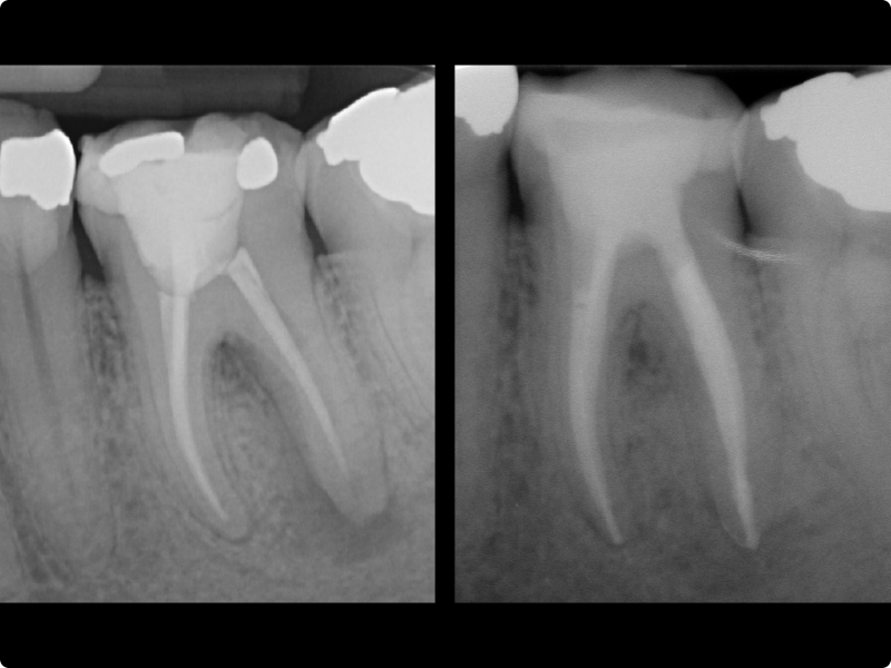
  • Essential protocols for canal system cleaning.

  • Root canal filling: general principles.

  • Endodontic seal: warm vertical condensation, carrier-based systems, bioceramic sealers.

PRACTICAL SECTION

  • Apical refinement and visual gauging.

  • Root canal filling using the different techniques described in the theoretical section.

  • Backfilling with thermoplasticized gutta-percha.

THEORETICAL SECTION

  • Endodontic retreatment: why, when, and how to retreat.

  • Redefining a proper access cavity.

  • Removal of intracanal retainers: metal posts, fiber posts, zirconia posts.

  • Removal of root canal filling materials.

PRACTICAL SECTION

  • Retreatment of the teeth filled in the previous practical session.

Who the course is aimed at
Dentists - Recent graduates - Students

The course is designed for dentists who wish to deepen or update their knowledge in endodontics. It is ideal for those who want to rediscover endodontics as a key part of their daily clinical practice, learn and apply the most modern techniques and materials, gain greater confidence in managing root canal treatments and retreatments, and refine their practical skills through intensive hands-on sessions on extracted teeth. A full-immersion experience created for professionals seeking a concrete, up-to-date, and immediately applicable clinical approach.

Course registration includes
  • Three-day theoretical and practical course
  • Instruments and materials for the hands-on sessions
  • Coffee break
  • Certificate of attendance
  • Access to the private “Students” group for ongoing tutoring
  • Exclusive discounts on the materials used during the course
What participants should bring

The organizing office will specify what participants need to bring.

 
 
 

Full Immersion in Endo – Dr. Alessandro Fava

A three-day theoretical and practical experience to rediscover endodontics as a key part of your daily clinical practice.

Your speakers
Dr. Alessandro Fava

Dr. Alessandro Fava graduated with honors and distinction in Dentistry and Prosthodontics from the University of Parma in 2001. A specialist in endodontics and restorative dentistry, he became an Active Member of the Italian Academy of Endodontics (AIE) in 2016. Since 2018, he has been a speaker at national conferences and educational courses. Currently, he collaborates with dental clinics in Parma, Mantua and Piacenza, focusing exclusively on his fields of expertise.