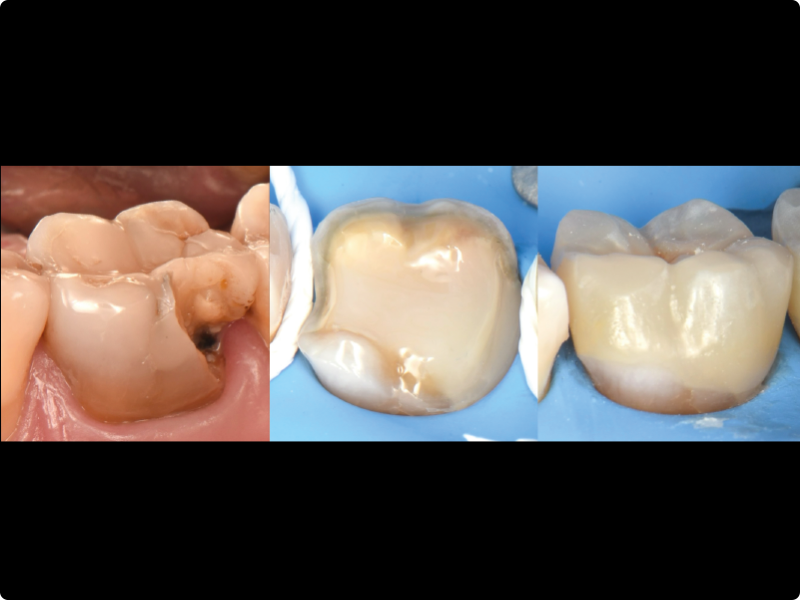
The single-topic course “Indirect Posterior Restorations in Composite and Ceramic” by Dr. Bertoni, scheduled for May 23rd, 2026 at the Komet Academy, is an advanced training program designed for dentists looking to enhance their skills in indirect posterior restorations. The course covers essential topics including clinical indications, preparation design (onlay, overlay, inlays/onlays), comparison of composite vs ceramic materials, management of natural or endodontically treated teeth, field isolation, and updated adhesive cementation protocols.

Participants will benefit from a comprehensive theoretical module, a live clinical demonstration, and an extensive hands-on practical session on training models, practicing full quadrant preparations, try-in of prefabricated restorations, silicone or digital impressions, and adhesive cementation techniques. The day concludes with an interactive discussion, Q&A session, and optional clinical case review.

Ideal for general dentists, recent graduates, and restorative dentistry specialists, this course provides clinically relevant, immediately applicable skills to increase precision, predictability, and the aesthetic and functional success of indirect posterior restorations.

Indirect Posterior Restorations in Composite and Ceramic
Restaurativa
Indirect Posterior Restorations in Composite and Ceramic
23/05/2026
Centro Corsi Komet Academy Italia
Via Belgio 12
Dr. Stefano Bertoni
Komet Italia
Registration deadline: 23/05/2026
Missing: -d h m s

Course Program

Theoretical Section:

Foundations and Planning of Indirect Restorations
• Clinical indications: when to choose an indirect restoration
• Preparation design: onlay, overlay, etc.
• Comparison of materials: composite vs ceramic
• Natural tooth vs endodontically treated tooth
• Margin management and isolation
• Silicone impression vs digital scanning
• Adhesive cementation: updated protocols
• Common mistakes and how to avoid them (tips & tricks)
Live demonstration by the Doctor, with preparation techniques shown in real time

Practical Section:

Hands-on Session on Models – Build-up Execution
• Cementation on a model of an inlay/onlay on a simulated tooth
• Full adhesive cementation protocol on a simulated tooth
• Optional sharing of participants’ clinical cases
• Open Q&A
• Reflections on the materials used
• Final feedback and concluding remarks

 

Who the course is aimed at
Dentists - Recent graduates - Students

This course is intended for dentists, endodontists, prosthodontists, and dental professionals looking to enhance their expertise in the planning and execution of indirect restorations. It is ideal for clinicians seeking updated training on modern adhesive techniques, digital workflows, and the selection of advanced restorative materials such as composite and ceramic.
Suitable for both experienced practitioners aiming to improve clinical outcomes and younger dentists who want to gain confidence in managing onlays, overlays, inlays, and restorations on endodontically treated teeth.

Course registration includes
  • One-day theoretical and practical course
  • Burs selection included for the hands-on session
  • Coffee break and lunch
  • Certificate of attendance
  • By attending this course, you will receive a 10% discount on future courses organized by Komet*
    *Courses eligible for the discount will be marked with the letter K in the “2026 Course Booklet”.
What participants should bring

The administration office will provide participants with the list of materials required for the course.

 
 
 
In case of changes

Komet Academy reserves the right to reschedule the course in case of organizational, logistical or security changes. If the scheduled course cannot take place as planned, the training activity will be rescheduled and participants will be notified of the new date with at least 15 days' notice.

If the new date is incompatible with the participant's documented pre-existing commitments, the fee paid will be refunded in full. Please note that it will not be possible to reimburse travel or accommodation expenses. Therefore, it is recommended that participants consider participating facilities (Hotel Leonardo in Verona or Hotel Crowne Plaza in Verona) and/or opt for flexible or refundable rates.

For cancellations contact: corsi@komet.it

Your speakers
Dr. Stefano Bertoni

Graduated in Dentistry and Dental Prosthetics from the University of Brescia in 2015, he earned a Level II Master’s Degree in Digital Dentistry in 2022. An Active Member of Amici di Brugg, Founder of SIPRO, and Certified Member of ESCD, he is a speaker at international courses and conferences. Based in Brescia, he specializes in implant prosthetics, aesthetic dentistry, and digital technologies.