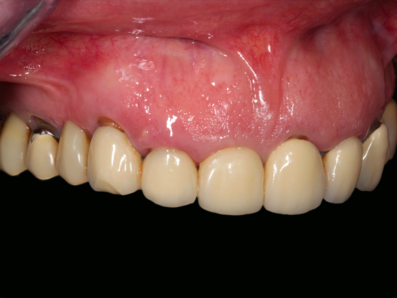
La preparazione verticale rappresenta oggi una sfida fondamentale nella protesi fissa moderna. La scelta del margine, verticale o orizzontale, su denti naturali e impianti, richiede protocolli dedicati e una conoscenza approfondita dei fattori che influenzano il successo biologico e protesico a lungo termine.

Durante il corso del Dr. Lombardo e del Sig. Di Felice verranno analizzati tutti gli step clinici e di laboratorio, con protocolli validati dall’esperienza clinica e supportati da evidenze scientifiche.

L’obiettivo è fornire ai partecipanti le competenze necessarie per gestire la preparazione verticale in modo predicibile, ottimizzando i risultati estetici e funzionali delle protesi fisse e garantendo la stabilità dei tessuti molli.

Un percorso pratico e completo, con crediti ECM, pensato per odontoiatri che desiderano perfezionare la propria tecnica e migliorare la qualità delle riabilitazioni protesiche.

Analogico e digitale.  Strategie cliniche e di laboratorio al servizio  della stabilità tissutale su denti e impianti
Laboratorio, Protesi
Analogico e digitale. Strategie cliniche e di laboratorio al servizio della stabilità tissutale su denti e impianti
05/12/2025, 06/12/2025
Centro Corsi Komet Academy Italia
Via Belgio, 12
Dr. Stefano Lombardo,
Sig. Antonello Di Felice
Komet Italia
Chiusura iscrizioni: 05/12/2025
Mancano: -g h m s

Programma del corso

  • Studio del caso analogico e digitale: dal piano di trattamento all progettazione protesica.
  • Principi meccanici e biologici delle preparazioni dentali. 
  • BOPT principi e sviluppo della tecnica dal laboratorio alla clinica. 
  • Definizione e posizionamento del margine: preparazioni orizzontali vs verticali. 
  • Provvisori in protesi fissa: progettazione e realizzazione.
  • Tecniche di ribasatura e rifinitura a confronto.
  • Management dei tessuti duri e molli.
  • Impronte di precisione in protesi fissa: tecniche tradizionali e digitali a confronto. 
  • Management dei tessuti molli: emostasi e retrazione gengivale.
  • Indicazioni e limiti degli Scanner intraorali.
  • Sviluppo in laboratorio dei modelli master analogici e digitali. 
  • BOPT: dal dente naturale all’impianto.
  • Scelta del margine e progettazione degli abutment personalizzati.
  • Sviluppo del profilo di emergenza impianto-protesico.
  • Progettazione implanto-protesica step by step.
  • Dalla fase chirurgica al condizionamento protesico dei tessuti molli perimplantari.
  • Dall’impronta di precisione allo sviluppo del framework. 
  • Riabilitazioni implanto-protesiche: casi clinici step by step.
  • Protesi fissa cementata e avvitata a confronto.
  • Protesi fissa tra funzione ed estetica.
A chi è rivolto il corso
Odontoiatri - Odontotecnici - Neolaureati - Studenti

Il corso è rivolto a odontoiatri, protesisti e specialisti in implantoprotesi che desiderano approfondire le tecniche di preparazione dentale, gestione dei tessuti molli e duri, e protocolli avanzati per la riabilitazione protesica fissa e implanto-protesica.

L’iscrizione al corso comprende
  • Corso teorico pratico di 2 giornate
  • Pranzi e coffee break
  • Attestato di partecipazione
  • 1 libro Komet edito da EDRA del valore di 229,00 € + IVA;
  • 30 CREDITI ECM da conseguire tramite piattaforma FAD: “Trattamenti e ritrattamenti endodontici” del Dr. A. Fava con scadenza il 31/12/2025
  • Partecipando a questo corso otterrai il 10% di sconto per la partecipazione ad altri corsi organizzati da Komet*
    *I corsi saranno contraddistinti con la lettera K nel booklet corsi 2025

 

Cosa devono portare i partecipanti

Tutto il materiale sarà fornito dall'organizzazione.

 

In caso di variazioni

Komet Academy si riserva il diritto di riprogrammare il corso in caso di variazioni organizzative, logistiche o di sicurezza. Se il corso previsto non potesse svolgersi come pianificato, l’attività formativa sarà riprogrammata e i partecipanti saranno avvisati della nuova data con un preavviso di almeno 15 giorni.

Qualora la nuova data risultasse incompatibile con impegni preesistenti documentabili del partecipante, la quota versata verrà rimborsata completamente. Si precisa che non sarà possibile rimborsare le spese di viaggio o di pernottamento.

Per cancellazioni contattare: corsi@komet.it

 

Hotel convenzionati

Komet Academy Italia consiglia di considerare le strutture convenzionate per il pernottamento, come l’Hotel Leonardo e il Crowne Plaza, entrambi situati a Verona e prossimi alla location del corso.

I tuoi relatori
Dr. Stefano Lombardo

Il Dott. Stefano Lombardo, odontoiatra e protesista, è specializzato in Odontoiatria Restaurativa, Protesi Fissa, Chirurgia Implantare e Implanto-Protesi, con particolare interesse per l’Estetica e le nuove tecnologie digitali. Laureato con lode presso l'Università di Torino nel 1997, ha svolto attività didattica e di ricerca nelle università italiane di Torino e Genova. Dal 2017 è docente all'Institute for Advanced Dental Studies (IADS) e in vari Master universitari, tra cui quelli in Implantologia dell’Università di Genova e Pisa e Restaurativa/Protesi dell’Università di Bologna. Fondatore della Dental Training s.a.s. nel 2017, è anche socio fondatore della SIPRO. Autore di numerose pubblicazioni scientifiche, è coautore di libri di riferimento nel campo della protesi e riabilitazione orale.

Sig. Antonello Di Felice

Il Sig. Antonello Di Felice è un odontotecnico con esperienza pluridecennale, che include collaborazioni presso laboratori di rilievo internazionale e la direzione di centri di eccellenza nel settore. Fondatore di progetti innovativi come la Trexenta University e il G.I.C., è titolare del laboratorio Tecnologia Dentale Italia a Roma e autore di pubblicazioni di settore.