Caso Clinico del Dr.Daniele Cardaropoli su allungamento di corona clinica per ripristino dello spazio protesico su un primo molare inferiore
Con la fresa Komet H 207D 316 012 che lavora solamente in punta si provvede ad eseguire una ostectomia a livello interprossimale per allungare una corona.
Ringraziamo il Dr.Daniele Cardaropoli di Torino (membro della Komet Academy) per il seguente caso clinico (qui sotto sono visibili in galleria le foto relative al caso).
CASO CLINICO: Allungamento di corona clinica per ripristino dello spazio protesico su un primo molare inferiore.
Al fine del recupero dell’elemento dentario, un primo molare del quarto quadrante è stato sottoposto a terapia endodontica e successiva ricostruzione con perno moncone in lega preziosa. La valutazione parodontale evidenzia una distanza dal margine di tessuto dentale sano al livello osseo marginale sul versante interprossimale distale di 2 mm, insufficiente a garantire il cerchiaggio con effetto ferula della futura corona protesica ne’ tantomeno a consentire il costituiti di una fisiologica altezza di ampiezza biologica (Fig 1,2).
 Figura-01 caso cardaropoli
 Figura-02 caso cardaropoli
Si provvede quindi ad eseguire un intervento di allungamento di corona clinica. Dopo l’esecuzione di un’anestesia locale plessica, vengono eseguite due incisioni paramarginali che partono dal versante vestibolare del primo molare, in direzione distale, e dal versante mesio-mesto-vestibolare del secondo molare, in direzione mesiale. Queste due incisioni paramarginali si incrociano a livello dello spazio interprossimale tra i due molari. Vengono poi eseguite due incisioni intrasulculari, una che coinvolge i versanti vestibolare e distale del primo molare ed una che coinvolge il versante mesiale del secondo molare, le quali si uniscono a livello dell’apice della papilla. Sia le incisioni intrasulculari che paramarginali vengono eseguite a tutto spessore (Fig 3).
 Figura-03 caso cardaropoli
Il tessuto gengivale compreso tra le incisioni intrasulculari e paramarginali viene asportato completamente, anche a livello interprossimale, ed un lembo a tutto spessore viene successivamente elevato (Fig 4).
 Figura-04 caso cardaropoli
Mediante l’utilizzo di uno strumento rotante specificamente ingegnerizzato (Komet H 207D 316 012), che lavora solamente in punta ma non sulle superfici laterali, si provvede ad eseguire una ostectomia a livello interprossimale (Fig 5), in modo tale da posizionare il margine dentale sano a 4 mm dal livello osseo marginale, consentendo anche il ripristino di una adeguata ampiezza biologica (Fig 6).
 Figura-05 caso cardaropoli
 Figura-06 caso cardaropoli
I tessuti molli vengono quindi suturati apicalmente con un punto ad ancoraggio periostale (Fig 7).
 Figura-07 caso cardaropoli
A distanza di 6 settimane si può evidenziare la buona guarigione dei tessuti molli intorno alla corona provvisoria in resina (Fig 8,9).
 Figura-08 caso cardaropoli

A distanza di 24 settimane i tessuti molli possono essere considerati maturi e stabili, e pronti per essere improntati (Fig 10).
 Figura-10 caso cardaropoli
L’impronta viene eseguita utilizzando un approccio digitale, con lettura del solco mediante l’utilizzo di uno scanner ottico intraorale (Fig 11).
 Figura-11 caso cardaropoli
L’immagine finale della corona in ceramica evidenzia una ottima integrazione dei tessuti molli con il manufatto protesico, in modo da garantire stabilità dei risultati sul lungo periodo (Fig 12).

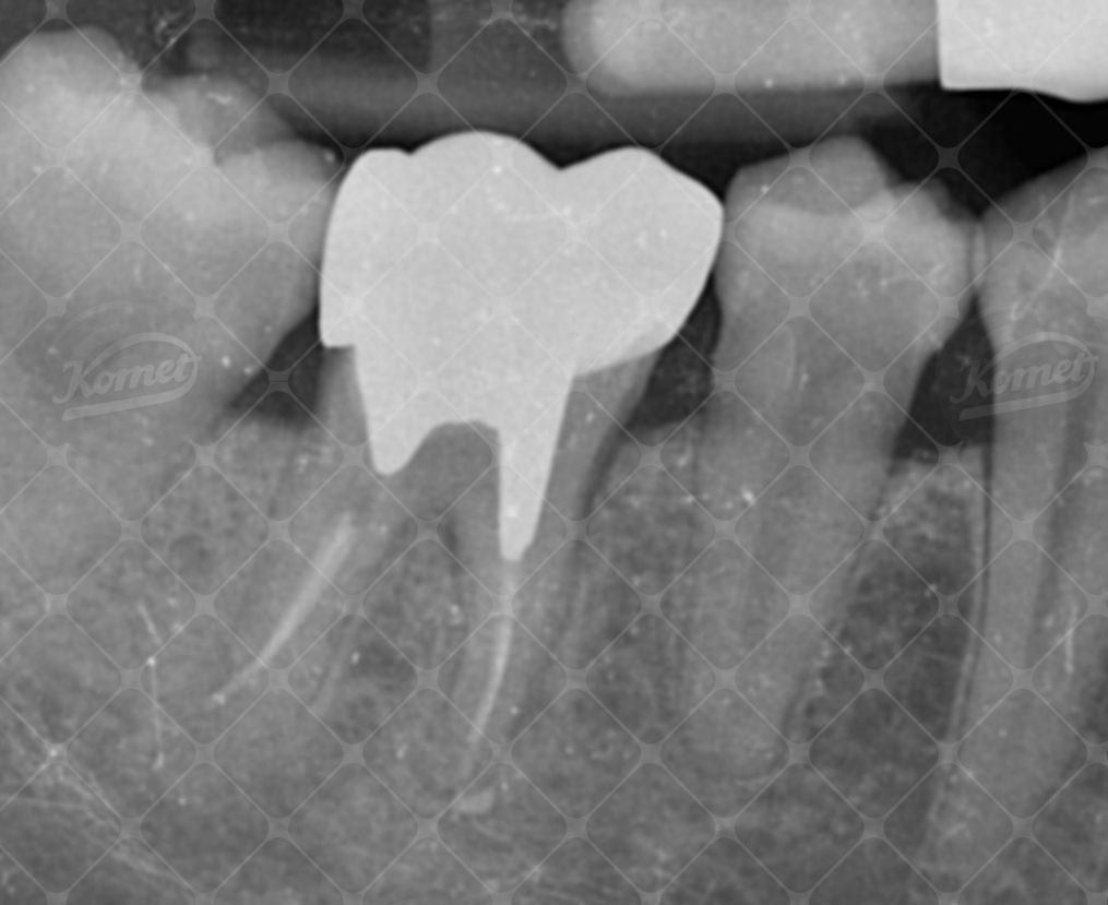
La radiografia finale endorale (Fig 13) mostra la stabilità dei livelli ossei marginali, con una adeguata distanza tra la cresta ossea ed il margina di chiusura protesico.
 Figura-13 caso cardaropoli
Qui sotto è possibile scaricare il PDF contenente le schede tecniche delle frese per chirurgia, fra le quali la fresa H 207D 316 012 utilizzata in questo caso clinico.
CASO CLINICO: Allungamento di corona clinica per ripristino dello spazio protesico su un primo molare inferiore.
Al fine del recupero dell’elemento dentario, un primo molare del quarto quadrante è stato sottoposto a terapia endodontica e successiva ricostruzione con perno moncone in lega preziosa. La valutazione parodontale evidenzia una distanza dal margine di tessuto dentale sano al livello osseo marginale sul versante interprossimale distale di 2 mm, insufficiente a garantire il cerchiaggio con effetto ferula della futura corona protesica ne’ tantomeno a consentire il costituiti di una fisiologica altezza di ampiezza biologica (Fig 1,2).
 Figura-01 caso cardaropoli
 Figura-02 caso cardaropoliSi provvede quindi ad eseguire un intervento di allungamento di corona clinica. Dopo l’esecuzione di un’anestesia locale plessica, vengono eseguite due incisioni paramarginali che partono dal versante vestibolare del primo molare, in direzione distale, e dal versante mesio-mesto-vestibolare del secondo molare, in direzione mesiale. Queste due incisioni paramarginali si incrociano a livello dello spazio interprossimale tra i due molari. Vengono poi eseguite due incisioni intrasulculari, una che coinvolge i versanti vestibolare e distale del primo molare ed una che coinvolge il versante mesiale del secondo molare, le quali si uniscono a livello dell’apice della papilla. Sia le incisioni intrasulculari che paramarginali vengono eseguite a tutto spessore (Fig 3).
 Figura-03 caso cardaropoliIl tessuto gengivale compreso tra le incisioni intrasulculari e paramarginali viene asportato completamente, anche a livello interprossimale, ed un lembo a tutto spessore viene successivamente elevato (Fig 4).
 Figura-04 caso cardaropoliMediante l’utilizzo di uno strumento rotante specificamente ingegnerizzato (Komet H 207D 316 012), che lavora solamente in punta ma non sulle superfici laterali, si provvede ad eseguire una ostectomia a livello interprossimale (Fig 5), in modo tale da posizionare il margine dentale sano a 4 mm dal livello osseo marginale, consentendo anche il ripristino di una adeguata ampiezza biologica (Fig 6).
 Figura-05 caso cardaropoli
 Figura-06 caso cardaropoliI tessuti molli vengono quindi suturati apicalmente con un punto ad ancoraggio periostale (Fig 7).
 Figura-07 caso cardaropoliA distanza di 6 settimane si può evidenziare la buona guarigione dei tessuti molli intorno alla corona provvisoria in resina (Fig 8,9).
 Figura-08 caso cardaropoli
A distanza di 24 settimane i tessuti molli possono essere considerati maturi e stabili, e pronti per essere improntati (Fig 10).
 Figura-10 caso cardaropoliL’impronta viene eseguita utilizzando un approccio digitale, con lettura del solco mediante l’utilizzo di uno scanner ottico intraorale (Fig 11).
 Figura-11 caso cardaropoliL’immagine finale della corona in ceramica evidenzia una ottima integrazione dei tessuti molli con il manufatto protesico, in modo da garantire stabilità dei risultati sul lungo periodo (Fig 12).

La radiografia finale endorale (Fig 13) mostra la stabilità dei livelli ossei marginali, con una adeguata distanza tra la cresta ossea ed il margina di chiusura protesico.
 Figura-13 caso cardaropoliQui sotto è possibile scaricare il PDF contenente le schede tecniche delle frese per chirurgia, fra le quali la fresa H 207D 316 012 utilizzata in questo caso clinico.