Caso clinico del Dr. Menini: conservativa diretta e indiretta, protesi fissa per la riabilitazione del 1°quadrante
Dr.Filippo Menini presenta un caso multidisciplinare: conservativa diretta, indiretta, protesi fissa ed endodontiche per la riabilitazione del 1° quadrante.
Ringraziamo il Dr. Filippo Menini di Belluno che presenta qui di seguito un interessante caso multidisciplinare, dove si sono alternate tecniche di conservativa diretta, indiretta, protesi fissa ed endodontiche nella riabilitazione del 1° quadrante.
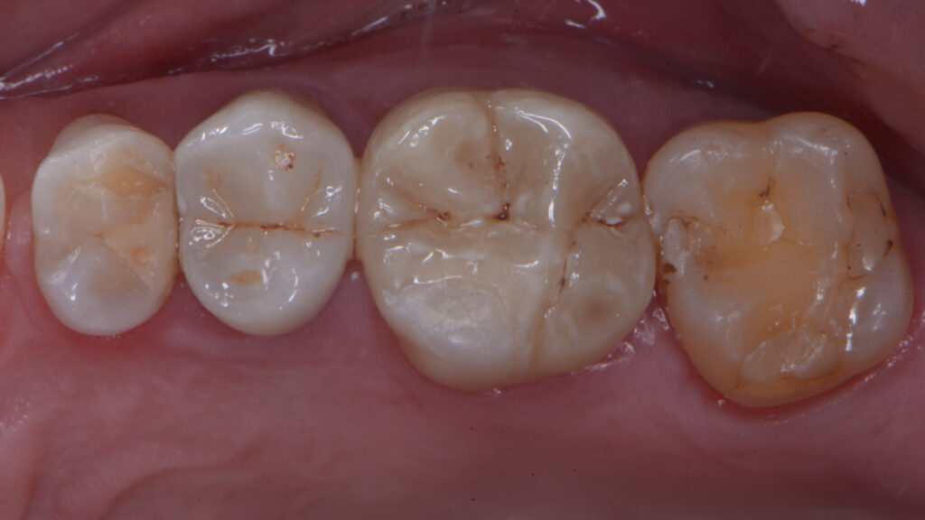
Paziente di 55 anni, presenta il 1° quadrante con gravi problematiche restaurative/endodontiche in particolare processi cariosi multipli ai danni degli elementi 1.4 - 1.5 - 1.6 - 1.7.
L’elemento 1.5 presenta altresì una compromissione dell’integrità del sigillo endodontico, ragione per la quale si è optato per il ritrattamento dell’elemento con contestuale cementazione di due perni in fibra di vetro.
Nello specifico il piano di cura ha previsto due ricostruzioni dirette in composito degli elementi 1.4 ed 1.5, la preparazione di un intarsio in composito fresato dell’elemento 1.6 ed infine un ritrattamento canalare con successiva corona in zirconia stratificata dell’elemento 1.5, per la quale è stata utilizzata la tecnica BOPT.
Entrambi gli elementi protesici sono stati sviluppati grazie a flussi interamente digitali tra tecnico e odontoiatra. La preparazione e pulizia delle cavità dei restauri diretti di II classe è stata portata a termine grazie all’utilizzo del kit Komet 1787 del Dr. Federico Ferraris.
Per quanto concerne la preparazione dell’intarsio in composito fresato e la corona in zirconia stratificata sono stati utilizzati rispettivamente il kit TD 2727 del Dr. Marco Veneziani e il kit LD1500A del Dr. Fabio Scutellà.


E' stata utilizzata la fresa H32.314.012 presente nel kit 1787 del Dr. Federico Ferraris per la rimozione rapida e sicura dell’amalgama, prima di cominciare la procedura di preparazione intarsio 1.6 utilizzando il kit TD2727 del Dr. Marco Veneziani:
- Diamantata 847 KR.314.014: utilizzata per la preparazione e rifinitura dei box interprossimali
- Diamantata 878.314.014: utilizzata per la preparazione delle superfici inclinate vestibolare / palatale
- Diamantata 878.314.010: utilizzata nel raccordo tra box interprossimali e superfici vestibolare e palatale
- Diamantate 8878.314.014 e 8878.314.010: utilizzate per la rifinitura delle superfici inclinate
- Diamantata 8858.314.010: utilizzata per la preparazione delle pareti assiali dei box interprossimali.
Kit Dr Veneziani TD2727


Procedura preparazione corona 1.5 utilizzando il kit 1500A del Dr. Fabio Scutellà:
- Diamantata S6881.314.012: utilizzata per la creazione dei solchi guida di profondità vestibolari e palatali
- Diamantata 6862D.314.012: utilizzata per la preparazione finale associata a leggero currettage sottogengivale calibrato a 1 mm
- Diamantata 8862.314.012: utilizzata per la rifinitura del moncone protesico e del curettage sottogengivale
- Diamantata 6369A.314.023: utilizzata per la preparazione della superficie occlusale del moncone protesico.
LD1500A_314 del Dr Fabio Scutellà

Procedura di pulizia e rimozione del tessuto carioso 1.4 - 1.7 utilizzando il kit 1787 del Dr. Federico Ferraris:
- Diamantata S6830L.314.012: utilizzata per rimuovere i precedenti restauri incongrui ed iniziale preparazione cavitaria
- Fresa H1SEM.204.016 e H1SEM.204.010 utilizzate nella rimozione del tessuto carioso e preparazione cavitaria in dentina
- Diamantata 10839.314.014: per la preparazione del gradino cervicale interprossimale
- Diamantata 8858.314.010: utilizzata per la rifinitura della preparazione cavitaria e dei margini.
KIT 1787 Dr Ferraris

Kit TD2727 Dr Veneziani
Paziente di 55 anni, presenta il 1° quadrante con gravi problematiche restaurative/endodontiche in particolare processi cariosi multipli ai danni degli elementi 1.4 - 1.5 - 1.6 - 1.7.
L’elemento 1.5 presenta altresì una compromissione dell’integrità del sigillo endodontico, ragione per la quale si è optato per il ritrattamento dell’elemento con contestuale cementazione di due perni in fibra di vetro.
Nello specifico il piano di cura ha previsto due ricostruzioni dirette in composito degli elementi 1.4 ed 1.5, la preparazione di un intarsio in composito fresato dell’elemento 1.6 ed infine un ritrattamento canalare con successiva corona in zirconia stratificata dell’elemento 1.5, per la quale è stata utilizzata la tecnica BOPT.
Entrambi gli elementi protesici sono stati sviluppati grazie a flussi interamente digitali tra tecnico e odontoiatra. La preparazione e pulizia delle cavità dei restauri diretti di II classe è stata portata a termine grazie all’utilizzo del kit Komet 1787 del Dr. Federico Ferraris.
Per quanto concerne la preparazione dell’intarsio in composito fresato e la corona in zirconia stratificata sono stati utilizzati rispettivamente il kit TD 2727 del Dr. Marco Veneziani e il kit LD1500A del Dr. Fabio Scutellà.


E' stata utilizzata la fresa H32.314.012 presente nel kit 1787 del Dr. Federico Ferraris per la rimozione rapida e sicura dell’amalgama, prima di cominciare la procedura di preparazione intarsio 1.6 utilizzando il kit TD2727 del Dr. Marco Veneziani:
- Diamantata 847 KR.314.014: utilizzata per la preparazione e rifinitura dei box interprossimali
- Diamantata 878.314.014: utilizzata per la preparazione delle superfici inclinate vestibolare / palatale
- Diamantata 878.314.010: utilizzata nel raccordo tra box interprossimali e superfici vestibolare e palatale
- Diamantate 8878.314.014 e 8878.314.010: utilizzate per la rifinitura delle superfici inclinate
- Diamantata 8858.314.010: utilizzata per la preparazione delle pareti assiali dei box interprossimali.






Procedura preparazione corona 1.5 utilizzando il kit 1500A del Dr. Fabio Scutellà:
- Diamantata S6881.314.012: utilizzata per la creazione dei solchi guida di profondità vestibolari e palatali
- Diamantata 6862D.314.012: utilizzata per la preparazione finale associata a leggero currettage sottogengivale calibrato a 1 mm
- Diamantata 8862.314.012: utilizzata per la rifinitura del moncone protesico e del curettage sottogengivale
- Diamantata 6369A.314.023: utilizzata per la preparazione della superficie occlusale del moncone protesico.














Procedura di pulizia e rimozione del tessuto carioso 1.4 - 1.7 utilizzando il kit 1787 del Dr. Federico Ferraris:
- Diamantata S6830L.314.012: utilizzata per rimuovere i precedenti restauri incongrui ed iniziale preparazione cavitaria
- Fresa H1SEM.204.016 e H1SEM.204.010 utilizzate nella rimozione del tessuto carioso e preparazione cavitaria in dentina
- Diamantata 10839.314.014: per la preparazione del gradino cervicale interprossimale
- Diamantata 8858.314.010: utilizzata per la rifinitura della preparazione cavitaria e dei margini.





