Dal 17 al 19 aprile 2025, la Komet Academy di Verona ospiterà un'esclusiva esperienza formativa con il Dr. Marco Veneziani, interamente dedicata alle restaurazioni adesive attraverso tecniche dirette e indirette, integrate con procedure chirurgiche innovative. Il corso, tenuto in lingua inglese, offrirà un approfondimento teorico e pratico sulle più avanzate metodologie restaurative, affrontando l’utilizzo delle tecniche adesive in composito, le indicazioni e le strategie operative per ottenere risultati estetici e funzionali ottimali. Verranno analizzate in dettaglio le procedure indirette, dalle preparazioni cavitarie all'adesione di inlay, onlay, overlay e corone adesive, con un focus sulla scelta dei materiali più idonei e sulla gestione dei restauri con margini sottogengivali. L’ultima giornata sarà interamente dedicata a una sessione pratica hands-on, durante la quale i partecipanti eseguiranno step-by-step le tecniche apprese, lavorando su denti in resina sotto la supervisione diretta del relatore. Un’opportunità imperdibile per chi desidera perfezionare le proprie competenze nel campo della restaurativa adesiva. 

ADHESIVE RESTORATIONS DIRECT / INDIRECT TECHNIQUES AND INTEGRATED SURGICAL PROCEDURES
Restaurativa
ADHESIVE RESTORATIONS DIRECT / INDIRECT TECHNIQUES AND INTEGRATED SURGICAL PROCEDURES
17/04/2025, 18/04/2025, 19/04/2025
Centro Corsi Komet Academy Italia
Via Belgio, 12
Dr. Marco Veneziani
Marco Veneziani

Programma del corso

DIRECT COMPOSITE TECHNIQUE:

  •  Adhesive technique. Etch-and rinse, Self-etch and Universal adhesive systems: indication and operative sequences
  • Update Indications for direct restorations
  •  Which tools, burs, materials and magnifying glasses are to be used to obtain the best results.
  • Restorations with subgingival margins: the one-stage surgical and restorative integrated approach.

INDIRECT COMPOSITE TECHNIQUE:

  • Adhesive technique: choice of adhesives, operative sequences, latest innovations
  • Indications and Limits of DIRECT techniques

COMPOSITE/CERAMIC ADHESIVELY CEMENTED RESTORATIONS:

  • Classification (Semi-direct, Indirect Technique)
  • Updated Indications and Survival rate
  • he BIO -BASE concept: Build-up, IDS, DME: why, how, which materials
  • Principles of PREPARATION: the innovative cavity design: Morphology Driven Preparation Technique

SEMIDIRECT Technique (Intraoral and Extraoral)

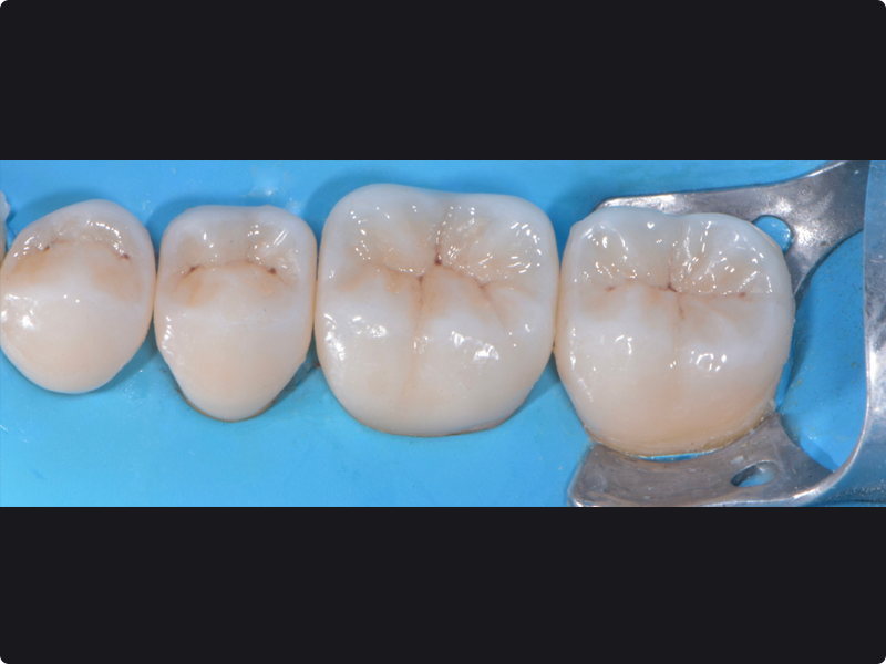
INDIRECT TECHNIQUE (Composite and Ceramic) Operative sequences step-by-step:

  •  The Morphology Driven Preparation Technique
  •  Traditional Impressions and stone models
  •  Digital Impression and Digital Workflow
  •  Dental Lab. phases
  •  Composite or Ceramic? The reasons for the decision.
  • Conventional Indirect restorations: Inlay, Onlay, Overlay
  • New conception Indirect restorations: Additional Overlay, Overlay-Veneer, Long-Wrap Overlay, Adhesive crown

 

ADHESIVE CEMENTATION Operative Sequences step by step

  •  Clinical cases with reference to the treatment plan
  •  Different approach in Vital and Endodontically treated teeth (post & core restorations/short-fiber reinforced composite build-up)
  •  Full-HD VIDEO about layered composite Overlays: step by step procedures

 

DEEP CERVICAL MARGIN (restorations with subgingival cervical margins)
Published classification and differentiated treatment approach:

  • Grade 1: Coronal relocation of the margin (DME)
  • Grade 2: Surgical exposition of the margin, Internal surgical bevel, External bevel with diode laser
  • Grade 3 a,b,c: Surgical lengthening of the clinical cr own with
    a - immediate
    b - early
    c - delayed impression


FULL MOUTH ADHESIVE REHABILITATION (only an example):

  1. Digital Smile Design, Wax-up, Full mouth adhesive Mock-up, increase of VDO, prep driven by mock-up, adhesive cementation.
  2. Full-HD VIDEO about 2 subgingival ceramic Overlays: surgical and restorative procedures.
  3. Full-HD VIDEO about surgical crown lengthening with intrasurgical build-up
    for a composite Onlay until cementation: step by step procedures.

HANDS-ON SESSION


Step by step execution of the restorations by the participants on resin
teeth and then inspection by the referee, who might make some
improvements.


INDIRECT ADHESIVE RESTORATION (Onlay, Overlay):

  • Opening of a wide cavity (with the help of the speaker) in order to simulate a clinical situation
  • Assessment of the remaining thickness and reduction of not properly supported cusps
  • Adhesive Composite Build-up
  • Preparation and finishing of the cavity, according to new MDPT

A chi è rivolto il corso

Questo corso è pensato per dentisti e specialisti che desiderano approfondire le proprie conoscenze e perfezionare le loro competenze in odontoiatria restaurativa adesiva attraverso un approccio multidisciplinare. È particolarmente indicato per odontoiatri generici, protesisti e restauratori che vogliono integrare tecniche avanzate dirette e indirette nella loro pratica quotidiana.

I partecipanti dovrebbero avere una conoscenza di base delle procedure restaurative ed essere motivati a esplorare le ultime innovazioni nei restauri in composito e ceramica, nella cementazione adesiva e nelle soluzioni integrate chirurgico-restaurative.

La componente pratica rende questo corso ideale per professionisti che cercano una formazione dettagliata e operativa, guidata passo dopo passo dall’esperienza del Dr. Marco Veneziani.

What is included

  • 3-day course 
  • 6 coffee breaks
  • 3 lunches
  • 1 social dinner (Friday evening)

Payment details

Complete the form below (last page of the brochure) and send it back to corsi.marcoveneziani@gmail.com

TERMS OF PAYMENT:


Bank Tranfer to
MFV Communication di Veneziani Marco & C. sas
Banca di Piacenza


IBAN: IT03E0515665500CC0180009017
BIC SWIFT : BCPCIT2P


Reason of the payment: first and last names course VR

I tuoi relatori
Dr. Marco Veneziani

Il Dott. Marco Veneziani è laureato in Odontoiatria e Protesi Dentaria presso l’Università degli Studi di Milano nel 1988 con il massimo dei voti. Ha perfezionato le sue competenze in Conservativa, Protesi e Parodontologia con corsi annuali del Dr. S. Patroni e del Dr. P.P. Cortellini, e ha seguito corsi di perfezionamento in Chirurgia Implantare (Prof. Weistein) e in Chirurgia avanzata applicata all’Implantologia (Dr. C. Tinti). Ha inoltre approfondito le tecniche di chirurgia muco-gengivale con il Prof. G. Zucchelli. È socio attivo dell'Accademia Italiana di Conservativa e Restaurativa (AIC) dal 1996, dell'Italian Academy of Esthetic Dentistry (IAED) dal 2012, e dell'International Academy for Digital Dental Medicine (IADDM). Ha ricoperto ruoli accademici come Professore a contratto presso l'Università di Pavia (Conservativa dal 2007 al 2011, Parodontologia dal 2019 al 2024) e in vari Master post-universitari. Relatore a corsi e congressi nazionali e internazionali, ha pubblicato numerosi articoli scientifici e capitoli di libri su odontoiatria conservativa e protesica. Ha ricevuto il “Premio Case Report Dentista Moderno” nel 2002 e si è classificato terzo all’AIOP-APS Excellence in Prosthodontics Award nel 2015. Autore del libro "Solutions" (EDRA 2021), tradotto in sette lingue. Libero professionista dal 1989, gestisce un centro di formazione a Vigolzone (PC), con un approccio multidisciplinare all’odontoiatria.