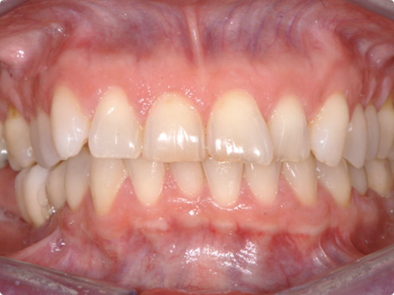
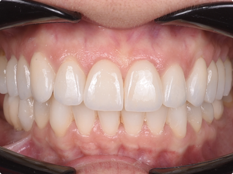
La Masterclass sulle Faccette Dentali con il Dr. Sibilla è un corso avanzato pensato per gli odontoiatri che desiderano perfezionare la tecnica delle faccette in ceramica attraverso un percorso altamente pratico (90%) e immediatamente applicabile in studio. Durante le due giornate a Verona, l’8 e 9 maggio 2026, i partecipanti seguiranno passo dopo passo l’intero flusso di lavoro: dall’analisi estetica al mock-up, dalla preparazione dei denti anteriori e posteriori alla presa dell’impronta digitale, fino alla cementazione adesiva e alla gestione della diga. Il corso, giunto alla sua 10ª edizione, offre 25 crediti ECM, un kit di frese Komet dedicato alle faccette e una coaching one-to-one con il Dr. Sibilla. Con soli 18 posti disponibili, rappresenta un’opportunità esclusiva per aggiornare le proprie competenze nella riabilitazione estetica con faccette dentali.

Masterclass Faccette Dentali
Restaurativa
Masterclass Faccette Dentali
08/05/2026, 09/05/2026
Centro Corsi Komet Academy Italia
Via Belgio 12
Dr. Pietro Sibilla
FORMADENTIS

Programma del corso

 

  • Il flusso di lavoro: dalla prima visita alla cementazione (teoria)

  • Analisi estetica

  • Mascherina per il mock-up (pratica step by step)

  • Mock-up con Telio (pratica step by step)

  • Mock-up con mascherina trasparente e flow (pratica step by step)

  • Preparazione tradizionale su due incisivi centrali (pratica step by step)

  • Preparazione 13, 23, 12, 22 (pratica step by step)

  • Preparazione 14, 15, 24, 25 (pratica step by step)

 

  • Impronta digitale e provvisorio (dimostrazione e pratica step by step)

  • Cementazione adesiva (teoria)

  • Isolamento con diga (dimostrazione e pratica)

  • Cementazione (dimostrazione)

  • Cementazione (pratica step by step)

A chi è rivolto il corso
Odontoiatri - Neolaureati - Studenti

Il corso è rivolto a odontoiatri che desiderano perfezionare le proprie competenze nella riabilitazione estetica con faccette dentali. È pensato per professionisti che vogliono apprendere un flusso di lavoro completo, dalla diagnosi alla cementazione, attraverso una formazione altamente pratica e immediatamente applicabile in studio. Ideale per chi desidera migliorare le tecniche di preparazione dentale, mock-up, impronta digitale e cementazione adesiva, e per tutti i clinici interessati a offrire trattamenti estetici avanzati basati su protocolli moderni e predicibili.

L’iscrizione al corso comprende
  • Due giornate di corso teorico-pratico
  • 25 crediti ECM, ottenibili tramite corso FAD dedicato
  • Kit di frese Komet specifico per la preparazione delle faccette
  • Coaching one-to-one di 30 minuti con il Dr. Sibilla per discutere i propri casi clinici 
  • Materiale didattico e supporto durante tutte le sessioni pratiche
  • Gruppo ristretto con massimo 18 partecipanti per garantire un apprendimento ottimale

     

     

Hotel convenzionati

Komet Academy Italia consiglia di considerare le strutture convenzionate per il pernottamento, come l’Hotel Leonardo e il Crowne Plaza, entrambi situati a Verona e prossimi alla location del corso.

 

Iscriviti alla Masterclass

Accedi alla pagina Formadentis per completare la registrazione in pochi minuti.

I tuoi relatori
Dr. Pietro Sibilla

Il Dr. Pietro Sibilla si è laureato con lode in Odontoiatria e Protesi Dentaria presso l'Università di Ferrara, dove ha anche svolto attività di ricerca. Ha fondato lo Studio Associato Rea-Sibilla, punto di riferimento per la salute dentale nel territorio ferrarese. È autore di pubblicazioni sull'estetica dentale e di un libro tradotto in più lingue. Negli ultimi anni, ha approfondito la medicina del sonno e si occupa del trattamento di apnee e russamento. Attivo nella formazione da oltre 15 anni, tiene corsi pratici per odontoiatri e operatori del settore.