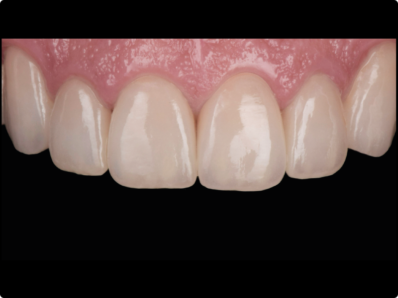
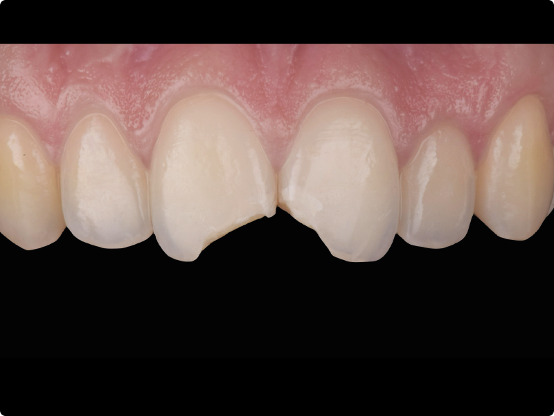
I restauri anteriori rappresentano una delle sfide più significative per l’odontoiatra moderno, dove estetica, funzione e longevità clinica devono convivere in equilibrio perfetto. L’evoluzione delle tecniche dirette e indirette, insieme a nuovi materiali compositi e ceramici e a protocolli adesivi avanzati, permette oggi di ottenere risultati altamente predicibili e di gestire con sicurezza anche i casi più complessi.

Il corso del Dr. Luca Tacchini offre un approccio pratico e aggiornato alla scelta tra restauri diretti e indiretti, mostrando come questi non siano alternative opposte ma parte di un percorso clinico integrato. Verranno approfonditi protocolli digitali, smile design, preparazioni per faccette e workflow moderni che consentono di raggiungere eccellenza estetica e funzionale. Un’opportunità formativa ideale per odontoiatri che desiderano perfezionare la gestione dei restauri anteriori e migliorare la qualità delle proprie riabilitazioni estetiche. 

La Sfida dei Restauri Anteriori : tecniche moderne, risultati realistici
Restaurativa
La Sfida dei Restauri Anteriori : tecniche moderne, risultati realistici
23/05/2026
Casa Martini
Piazza Luigi Rossi, 2 Pessione
Dr. Luca Tacchini
T3 group

Programma del corso

  • Studio del Caso: quando diretti e quando indiretti, fotografia, smile design e simulazione di uno smile design su sessione foto live
  • Preparazione faccette teoria: tecniche, protocollo, uso di strumenti rota
A chi è rivolto il corso
Odontoiatri - Neolaureati - Studenti

Il corso è rivolto a odontoiatri e professionisti della restaurativa estetica che desiderano approfondire la gestione clinica dei restauri anteriori, migliorando la capacità decisionale tra tecniche dirette e indirette. È pensato per chi vuole integrare nella propria pratica i più avanzati protocolli digitali, l’utilizzo di nuovi materiali compositi e ceramici e le moderne strategie adesive, ottenendo risultati estetici e funzionali altamente predicibili. Ideale per dentisti che desiderano perfezionare la qualità dei propri trattamenti estetici e acquisire competenze aggiornate nel smile design, nelle preparazioni per faccette e nei workflow restaurativi contemporanei.

L’iscrizione al corso comprende
  • Corso teorico di 1 /2 giornata 
  • Coffee break e lunch 
  • Attestato di Partecipazione
  • Martini Cockail Experience
Cosa devono portare i partecipanti

Tutto il materiale viene fornito dall’organizzazione.

 

In caso di variazioni

Komet Academy si riserva il diritto di riprogrammare il corso in caso di variazioni organizzative, logistiche o di sicurezza. Se il corso previsto non potesse svolgersi come pianificato, l’attività formativa sarà riprogrammata e i partecipanti saranno avvisati della nuova data con un preavviso di almeno 15 giorni.

I tuoi relatori
Dr. Luca Tacchini

Il Dr Tacchini è un dentista altamente specializzato in conservativa e protesi fissa. Laureato presso l'Università degli Studi di Brescia nel 2007, è diventato una figura di riferimento nel suo campo, essendo socio attivo dell'ESCD (European Society of Cosmetic Dentistry) e degli Amici di Brugg. Ha sviluppato e insegnato un corso di conservativa riconosciuto a livello internazionale, giunto alla sua 44a edizione con oltre 1.100 partecipanti. È relatore richiesto a conferenze internazionali e autore di numerosi articoli su riviste scientifiche. Specializzato su denti naturali e impianti, esercita come libero professionista a Brescia, continuando ad affinare la sua esperienza e a contribuire alla formazione di nuovi professionisti.