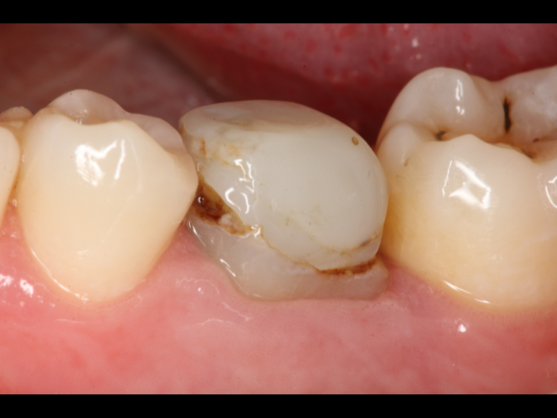
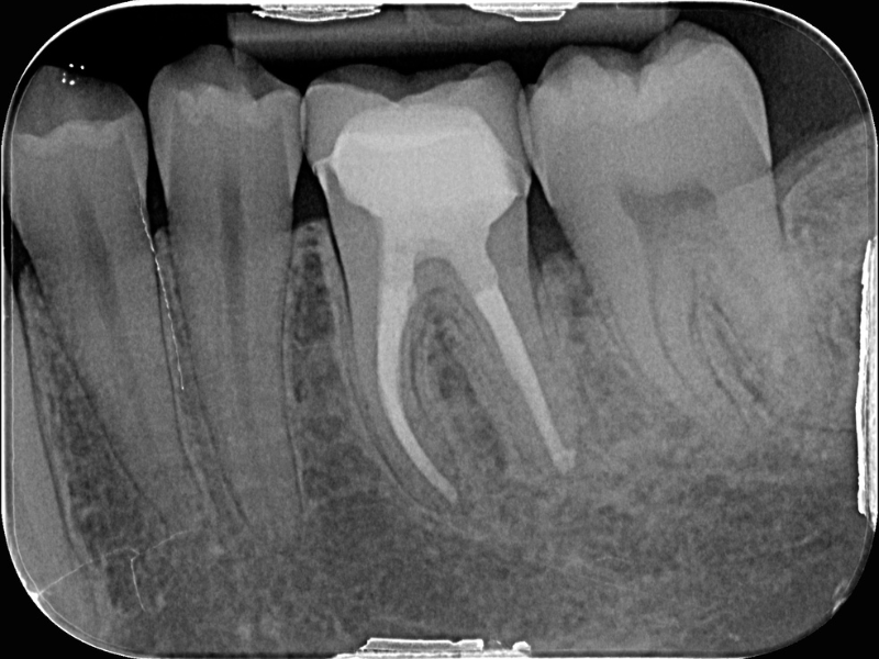
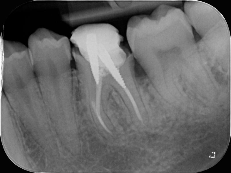
Il corso “Il Ritrattamento Endodontico” con il Dr. Fava offre una giornata di formazione completa dedicata alla gestione moderna e predicibile dei ritrattamenti canalari. Attraverso un approccio teorico-pratico, il corso affronta le principali sfide cliniche del ritrattamento endodontico, dalla corretta ridefinizione della cavità d’accesso alla rimozione dei materiali d’otturazione e delle ritenzioni endocanalari, inclusi perni metallici e in fibra.
Particolare attenzione viene dedicata al recupero della lunghezza di lavoro, alla sagomatura e rifinitura apicale nei ritrattamenti, all’impiego dei biomateriali come sealer e putty, e alla gestione dei danni iatrogeni quali perforazioni, gradini e blocchi. Il corso guida inoltre alla gestione delle anatomie apicali alterate e all’ottenimento di un sigillo finale efficace.
Un percorso ideale per il clinico che desidera perfezionare tecnica, predicibilità e sicurezza operativa nei ritrattamenti endodontici.

Il ritrattamento endodontico
Endodonzia
Il ritrattamento endodontico
10/04/2026
Centro Corsi Komet Academy Italia
Via Belgio 12
Dr. Alessandro Fava
Komet Italia
Chiusura iscrizioni: 10/04/2026
Mancano: -g h m s

Programma del corso

 

  • Il ritrattamento endodontico: perché, quando e come ritrattare

  • Ridefinizione di una corretta cavità d’accesso

  • Rimozione delle ritenzioni endocanalari: perni metallici e perni in fibra

  • Rimozione dei materiali da otturazione canalare: confronto tra diverse tecniche

  • Recupero della lunghezza di lavoro: la chiave del successo

  • Sagomatura e rifinitura apicale nei ritrattamenti: cosa cambia

  • Utilizzo dei biomateriali (sealer e putty) nei ritrattamenti

  • Danni iatrogeni: riparazione di perforazioni, superamento di gradini e blocchi

  • Gestione delle anatomie apicali alterate e ottenimento di un sigillo efficace

 

A chi è rivolto il corso
Odontoiatri - Neolaureati - Studenti

Il corso è rivolto a odontoiatri e endodontisti che desiderano approfondire l’approccio moderno ai ritrattamenti endodontici, migliorare la gestione delle complicanze e aumentare la predicibilità clinica dei propri casi. È indicato anche per professionisti con esperienza di base in endodonzia che vogliono perfezionare tecnica, sicurezza operativa e risultati clinici.

L’iscrizione al corso comprende
  • Corso teorico-pratico di 1 giornata
  • Pranzo e Coffee break 
  • Attestato di Partecipazione 
  • Partecipando a questo corso otterrai il 10% di sconto per la partecipazione ad altri corsi organizzati da Komet: i corsi saranno contraddistinti con la lettera K nel booklet corsi 2026
Cosa devono portare i partecipanti

Tutto il materiale viene fornito dall’organizzazione.

 

In caso di variazioni

Komet Academy si riserva il diritto di riprogrammare il corso in caso di variazioni organizzative, logistiche o di sicurezza. Se il corso previsto non potesse svolgersi come pianificato, l’attività formativa sarà riprogrammata e i partecipanti saranno avvisati della nuova data con un preavviso di almeno 15 giorni.

Qualora la nuova data risultasse incompatibile con impegni preesistenti documentabili del partecipante, la quota versata verrà rimborsata completamente. Si precisa che non sarà possibile rimborsare le spese di viaggio o di pernottamento.

Per cancellazioni contattare: corsi@komet.it

Hotel convenzionati

Komet Academy Italia consiglia di considerare le strutture convenzionate per il pernottamento, come l’Hotel Leonardo e il Crowne Plaza, entrambi situati a Verona e prossimi alla location del corso.

I tuoi relatori
Dr. Alessandro Fava

Il Dr. Alessandro Fava, laureato con lode e menzione d’onore presso l’Università di Parma nel 2001, è un esperto in endodonzia e odontoiatria conservativa. Qualificato come Socio Attivo AIE dal 2016, è relatore a congressi e corsi di formazione dal 2018. Attualmente collabora con studi odontoiatrici nelle province di Parma, Mantova e Piacenza, dedicandosi esclusivamente alle sue specializzazioni.