Il corso “La protesi fissa nei settori estetici: quali preparazioni e come eseguirle per ottenere un risultato predicibile”, organizzato da Komet Academy, si terrà il 31 ottobre 2026 a Senigallia con relatore il Dr. Sandro Pradella.

L’evento formativo approfondisce i principi fondamentali delle preparazioni dentali per restauri estetici indiretti, analizzando la scelta del materiale più idoneo, la gestione dei margini di finitura e le tecniche operative protesicamente guidate. Particolare attenzione sarà dedicata alla cementazione adesiva step by step, ai cementi compositi, alle procedure di polimerizzazione e alla rifinitura finale, per garantire restauri duraturi e biologicamente rispettosi.

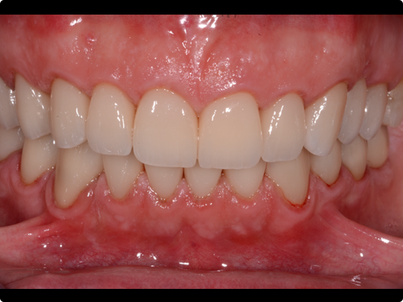
Il corso è rivolto a odontoiatri che desiderano migliorare predicibilità, estetica e stabilità a lungo termine nei restauri protesici anteriori e posteriori.

La protesi fissa nei settori estetici: quali preparazioni e come eseguirle per ottenere un risultato predicibile.
Protesi
La protesi fissa nei settori estetici: quali preparazioni e come eseguirle per ottenere un risultato predicibile.
31/10/2026
Senigallia Finis Africae Hotel
S.P. Sant'Angelo, 155 Senigallia (AN)
Dr. Sandro Pradella
Andrea Bergamo

Programma del corso

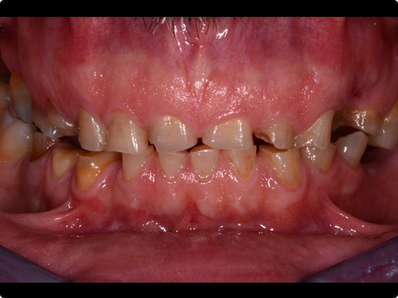
  • Principi generali delle preparazioni dentali per anteriori e posteriori.
  • Valutazione e programmazione della tipologia di preparazione dentale e margine di finitura nei settori estetici.
  • Fasi sequenziali della preparazione dentale.
  • Programmazione e tecniche operative per la preparazione dentale protesicamente guidata.
  • I provvisori nei settori estetici.
  • Tecniche dirette e indirette.
  • Provvisori prelimatura e postlimatura.
  • Procedure operative di ribasatura, rifinitura e riparazione.

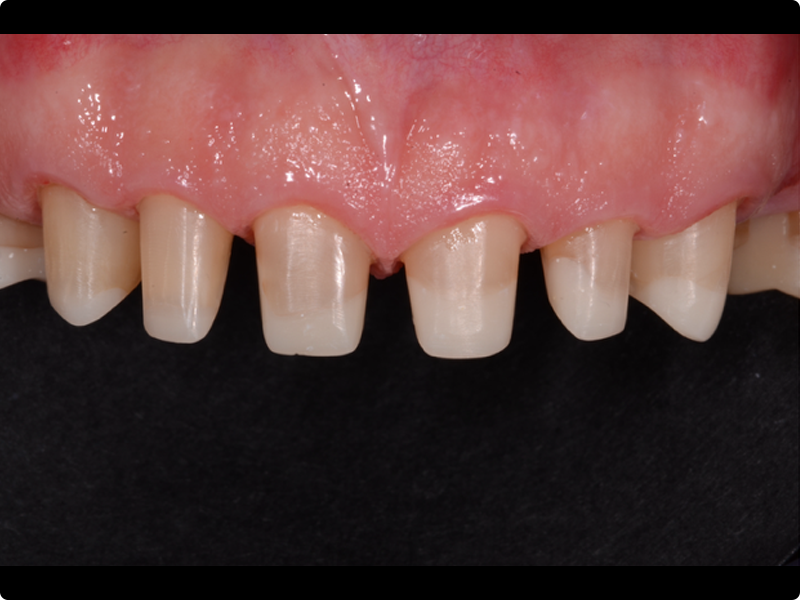
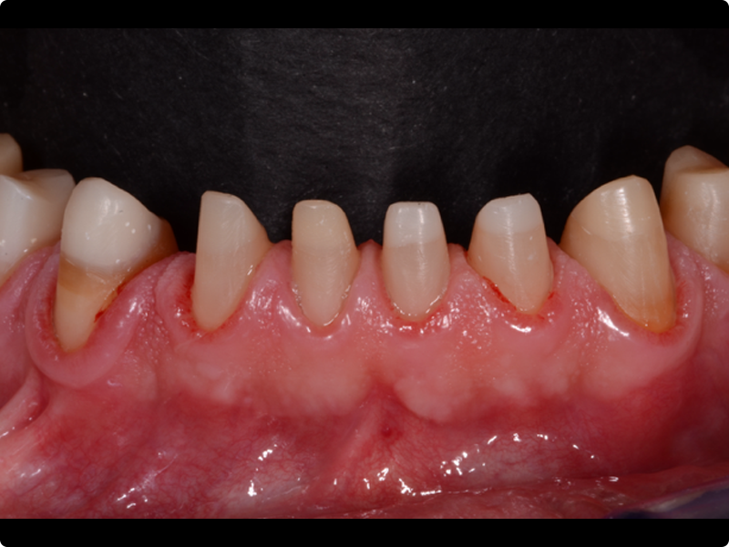
Preparazioni per restauri estetici indiretti:

  • Corone singole, ponti
  • Faccette e Intarsi
  • Scelta del materiale più idoneo per i restauri indiretti

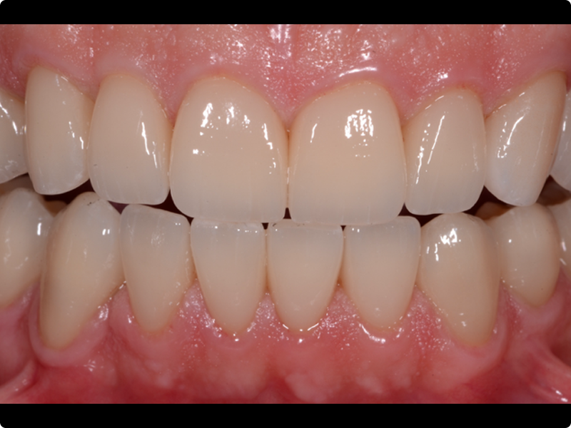
Presentazione di casi clinici risolti con le tecniche indirette e o differenti tipologie di preparazione dentale.
Adesione: cosa succede a livello microscopico e cosa bisogna sapere in merito ai vecchi e nuovi adesivi.
La cementazione adesiva:

  • I cementi compositi.
  • Metodiche di cementazione.
  • Cementazione step by step.
  • Procedimento di polimerizzazione.
  • La rifinitura: materiali e tecniche.
A chi è rivolto il corso
Odontoiatri - Odontotecnici - Neolaureati - Studenti

Il corso è rivolto a odontoiatri, protesisti e professionisti dell’odontoiatria restaurativa ed estetica che desiderano approfondire le preparazioni dentali per protesi fissa nei settori anteriori e posteriori, con particolare focus sui settori estetici.

È indicato per:

  • Dentisti che vogliono migliorare la predicibilità clinica dei restauri indiretti (corone, ponti, faccette, intarsi).

  • Professionisti interessati a perfezionare le tecniche di preparazione protesicamente guidata.

  • Clinici che desiderano aggiornarsi sulle tecniche di cementazione adesiva e sull’utilizzo dei cementi compositi.

  • Odontoiatri che vogliono ottimizzare la gestione dei provvisori nei settori estetici, dalla prelimatura alla rifinitura.

  • Professionisti che intendono approfondire i protocolli di adesione dentale, materiali restaurativi e procedure step by step per ridurre errori clinici e aumentare la durata dei restauri.

Il corso è particolarmente indicato per chi desidera consolidare competenze avanzate in protesi fissa estetica metal-free, migliorando qualità, stabilità e longevità dei restauri nel lungo termine.

L’iscrizione al corso comprende
  • Conferenza teorica di 1 giornata;
  • Pranzo e coffee break
  • Attestato di partecipazione
Cosa devono portare i partecipanti

Tutto il materiale viene fornito dall’organizzazione.

In caso di variazioni

Komet Academy si riserva il diritto di riprogrammare il corso in caso di variazioni organizzative, logistiche o di sicurezza. Se il corso previsto non potesse svolgersi come pianificato, l’attività formativa sarà riprogrammata e i partecipanti saranno avvisati della nuova data con un preavviso di almeno 15 giorni.
Qualora la nuova data risultasse incompatibile con impegni preesistenti documentabili del partecipante, la quota versata verrà rimborsata completamente. Si precisa che non sarà possibile rimborsare le spese di viaggio o di pernottamento.

Andrea Bergamo – Specialista Sistematica Komet | Endodonzia e Strumentazione Dentale nelle Marche

Attivo nel settore dentale dal 1990, Andrea Bergamo ha maturato un’esperienza pluridecennale che lo rende un punto di riferimento nella sistematica Komet, con una competenza approfondita in Endodonzia, strumenti rotanti, frese diamantate e soluzioni per la preparazione dentale.

Grazie a un know-how completo sulla gamma strumenti Komet dalla A alla Z, Andrea supporta odontoiatri e studi dentistici nella scelta delle migliori soluzioni per:

  • Preparazione dentale protesicamente guidata

  • Endodonzia clinica e sagomatura canalare

  • Restaurativa diretta e indiretta

  • Ottimizzazione dei protocolli operativi

  • Selezione di frese e strumenti ad alte prestazioni

Zone di competenza

Se operi nelle province di Ancona, Macerata e Pesaro-Urbino, puoi contare su un supporto professionale dedicato per approfondire prodotti, strumenti e servizi Komet.

P.zza Rosselli, 24 60126 Ancona

Cell. 348 3839431
Mail: kometancona@gmail.com

Contatta Andrea Bergamo per una consulenza personalizzata su strumentazione dentale Komet, endodonzia e soluzioni innovative per lo studio odontoiatrico.

I tuoi relatori
Dr. Sandro Pradella

Nato a Mantova, odontotecnico diplomato e laureato con lode in Odontoiatria a Verona, si specializza in Odontoiatria Conservativa e Protesica con focus su tecniche adesive e soluzioni metal-free. Socio attivo AIC dal 2004 e vincitore del premio MUCOGRAFT al Congresso Osteology 2012, è professore a contratto presso le Università di Cagliari e Parma. Autore di pubblicazioni su conservativa e protesi, svolge attività di relatore in corsi e congressi nazionali e internazionali.