Restaurare il sorriso: tecniche moderne per l’estetica e la funzione

Il sorriso è uno degli elementi chiave della comunicazione non verbale, capace di influenzare profondamente l’immagine di sé e la percezione da parte degli altri.
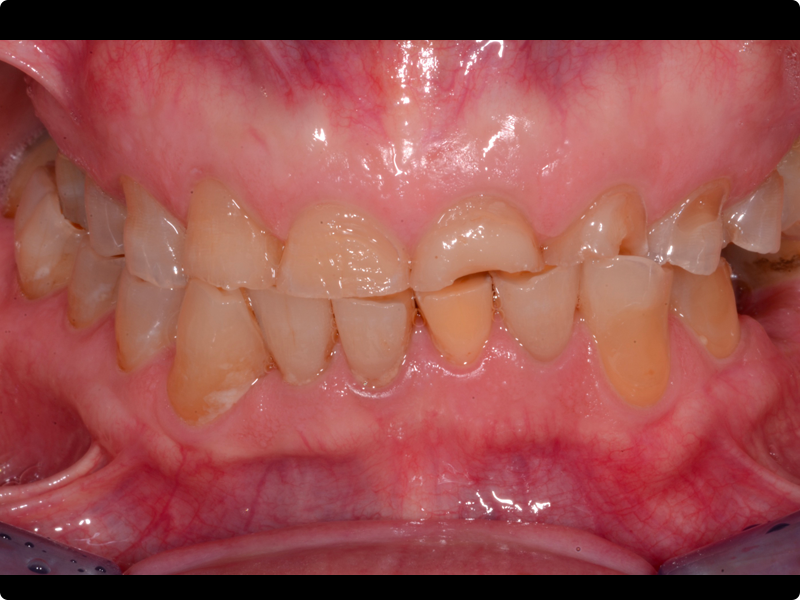
Restaurare un sorriso compromesso richiede oggi competenze avanzate, materiali innovativi e protocolli clinici aggiornati.

Questo corso teorico intensivo condotto dal Dr. Sandro Pradella si concentra sulle più efficaci tecniche restaurative dirette e indirette, fornendo indicazioni pratiche per trattare i principali inestetismi del sorriso.

Durante la giornata formativa verranno approfonditi:

  • Le indicazioni cliniche e i materiali ideali per restauri estetici funzionali

  • Le sequenze operative predicibili

  • Tecniche per ricostruzioni post-traumatiche, trattamento dei diastemi, utilizzo di mock-up permanenti, faccette e corone

Il corso si rivolge a odontoiatri e giovani professionisti desiderosi di perfezionare le proprie abilità in odontoiatria estetica moderna.
Include fino a 30 crediti ECM tramite FAD e rappresenta un’opportunità concreta di aggiornamento clinico di alto livello.

Restaurare il sorriso: le tecniche dirette e indirette
Restaurativa
Restaurare il sorriso: le tecniche dirette e indirette
25/10/2025
Salina Hotel
Viale Unità d'Italia, 648-650, Via Mediterraneo, 1, 74122 Taranto TA
Dr. Sandro Pradella
Komet Italia

Programma del corso

  • Introduzione
  • Estetica: 
    • Concetti e parametri
  • Il colore: 
    • Concetti di base
    • Come rilevarlo e trasmetterlo 
  • Adesione:
    • Aggiornamento sui nuovi sistemi adesivi 
  • Traumi: 
    • Reincollaggio dei frammenti 
    • Ricostruzioni post-traumatiche 
  • Diastemi: 
    • Semplici 
    • Complessi, se conseguenza di agenesie 
  • Buchi neri sotto il punto di contatto. 
  • Otturazioni Dirette: 
    • 3^ Classi 
    • 4^ Classi 
  • Mock-up permanenti: 
    • Per Patologia Erosiva 
    • Per Patologia Sistemica 
    • Per anomalie di forma: amelogenesi imperfetta, MIH e denti conoidi 
  • Faccette:
    • Sequenza completa di realizzazione: dalle foto iniziali alla cementazione 
  • Corona:
    • Sequenza completa di realizzazione, sia dei casi semplici che di quelli complessi.
A chi è rivolto il corso
Odontoiatri - Neolaureati - Studenti

Il corso è rivolto a odontoiatri che desiderano aggiornare e perfezionare le proprie competenze nelle tecniche restaurative estetiche sia dirette che indirette, a giovani professionisti, neolaureati o specializzandi che vogliono acquisire un approccio clinico solido e moderno nella gestione dei casi estetici complessi, e a odontoiatri conservatori interessati a protocolli minimamente invasivi e all’applicazione dei materiali più innovativi nel rispetto della struttura dentale naturale.

Il corso è patrocinato da ANDI Taranto, a testimonianza della qualità scientifica e dell’importanza formativa dell’iniziativa.

Qualora si desideri usufruire della promozione speciale riservata ai partecipanti, è possibile contattare la segreteria organizzativa.

L’iscrizione al corso comprende
  • Conferenza teorica di 1 giornata 
  • Pranzo e coffe break
  • Attestato di partecipazione 
  • 25/30 CREDITI ECM da conseguire tramite piattaforma FAD entro il 31/12/2025
Cosa devono portare i partecipanti

Tutto il materiale viene fornito dall’organizzazione.

 

In caso di variazioni

Komet Academy si riserva il diritto di riprogrammare il corso in caso di variazioni organizzative, logistiche o di sicurezza. Se il corso previsto non potesse svolgersi come pianificato, l’attività formativa sarà riprogrammata e i partecipanti saranno avvisati della nuova data con un preavviso di almeno 15 giorni.

Per cancellazioni contattare: corsi@komet.it

I tuoi relatori
Dr. Sandro Pradella

Nato a Mantova, odontotecnico diplomato e laureato con lode in Odontoiatria a Verona, si specializza in Odontoiatria Conservativa e Protesica con focus su tecniche adesive e soluzioni metal-free. Socio attivo AIC dal 2004 e vincitore del premio MUCOGRAFT al Congresso Osteology 2012, è professore a contratto presso le Università di Cagliari e Parma. Autore di pubblicazioni su conservativa e protesi, svolge attività di relatore in corsi e congressi nazionali e internazionali.