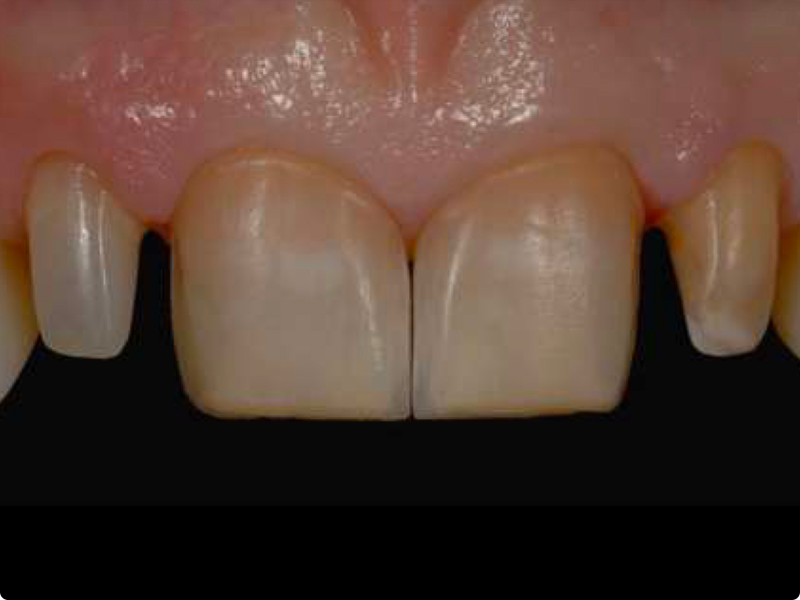
Il focus di questo incontro è rivolto ai restauri indiretti parziali adesivi nei settori frontali. Saranno discussi i punti chiave della restaurativa estetico adesiva mediante faccette in composito ed in ceramica. La dimostrazione pratica, che prevede l’uso di strumenti sonici per ottimizzare le preparazioni, offrirà un’opportunità unica per sperimentare tecnologie tanto avanzate quanto applicabili da tutti nella pratica quotidiana. Questo evento rappresenta un’anteprima del Corso di Tecniche Dirette e Indirette in Restaurativa, un percorso di due giornate dedicato al moderno approccio ai trattamenti ricostruttivi estetico-adesivi.

Komet by Night - Restaurativa estetica: le soluzioni indirette nel settore frontale
Restaurativa
Komet by Night - Restaurativa estetica: le soluzioni indirette nel settore frontale
03/02/2025
Centro Corsi Komet Academy Italia
Via Belgio, 12
Dr. Mario Alessio Allegri
Komet Italia

Programma del corso

Sessione teorica:

  • I punti chiave per il successo dei restauri indiretti parziali adesivi nei settori frontali;
  • Strumenti e materiali per il successo estetico e funzionale.

Sessione pratica: 

  • Dimostrazione sull’uso degli strumenti sonici per la preparazione delle faccette.
  • Spazio per domande e risposte con il relatore.
  • Conclusioni e presentazione del Corso di "Tecniche Dirette e Indirette in Restaurativa".

A chi è rivolto il corso

Odontoiatri - Neolaureati - Studenti

Questo corso è pensato per professionisti del settore odontoiatrico interessati a perfezionare le proprie competenze nelle tecniche restaurative estetico-adesive, con un focus particolare sui restauri indiretti parziali nei settori frontali.

L’evento rappresenta inoltre un’anteprima del corso "Tecniche Dirette e Indirette in Restaurativa", un percorso di due giornate dedicato ai moderni approcci ai trattamenti ricostruttivi estetico-adesivi.

L’iscrizione al corso comprende

  • Corso serale dalle ore 19.30 alle 21.30
  • Aperitivo
  • Attestato di Partecipazione
  • Possibilità di rivedere la registrazione del corso
  • Partecipando a questo corso otterrai il 10% di sconto per la partecipante ad altri corsi organizzati da Komet*

Cosa devono portare i partecipanti

Tutto il materiale viene fornito dall’organizzazione.

 

 

In caso di variazioni

Komet Academy si riserva il diritto di riprogrammare il corso in caso di variazioni organizzative, logistiche o di sicurezza. Se il corso previsto non potesse svolgersi come pianificato, l’attività formativa sarà riprogrammata e i partecipanti saranno avvisati della nuova data con un preavviso di almeno 15 giorni.

Qualora la nuova data risultasse incompatibile con impegni preesistenti documentabili del partecipante, la quota versata verrà rimborsata completamente. Si precisa che non sarà possibile rimborsare le spese di viaggio o di pernottamento. Si consiglia, pertanto, di considerare le strutture convenzionate (Hotel Leonardo di Verona o Hotel Crowne Plaza di Verona) e/o di optare per tariffe flessibili o rimborsabili.

Per cancellazioni contattare: corsi@komet.it

I tuoi relatori
Dr. Mario Alessio Allegri

Il Dott. Mario Alessio Allegri, laureato con lode in Odontoiatria presso l’Università di Verona, è specializzato in odontoiatria adesiva, estetica e gnatologia. Attivo in numerose accademie di rilievo, tra cui AIC, IAED, AIOP ed EAED, ricopre ruoli di leadership e contribuisce alla formazione accademica. Relatore e autore di pubblicazioni scientifiche, opera a Verona focalizzandosi sulla gestione multidisciplinare di casi complessi.